VI-SCAN diagnostics
VI-SCAN diagnostics
VI-SCAN diagnostics
VI-SCAN diagnostics
VI-SCAN diagnostics Noida
VI-SCAN diagnostics
VI-SCAN diagnostics
VI-SCAN diagnostics
VI-SCAN diagnostics
VI-SCAN diagnostics
VI-SCAN diagnostics
VI-SCAN diagnostics
VI-SCAN diagnostics
VI-SCAN diagnostics
VI-SCAN diagnostics
Your Partner in
Exceptional Dental Care
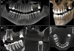
We combine cutting-edge imaging technology with advanced AI assisted quality checks, expert radiologist review, collaborative treatment planning, ensuring the most accurate and reliable diagnostic insights.
India's Leading Diagnostic Network
India's Leading Diagnostic Network
Benefit from our rapidly expanding chain of advanced centers, offering trusted, high-quality services.

Seamless Digital Integration
Our SaaS platform enables seamless digital integration across the dental ecosystem, consolidating patient data, 2D and 3D scan files, and end-to-end workflow automation.

2-6 Hour Rapid Report Option
We deliver precise diagnostic reports within 2-6 hours, empowering dentists and patients to begin treatments the very same day, in an informed and data backed manner, eliminating unnecessary delays.


Your Vision, Our Precision
For All Stakeholders.
We empower every stakeholder across India with unparalleled precision and efficiency, leveraging cutting-edge technology and expert analysis for superior patient outcomes and partner growth.

Dental Professionals & Clinics
For dentists, streamline your practice with Vi-Scan's intuitive SaaS platform. Securely access all your precise reports and 3D DICOM viewers for truly confident decisions and seamless patient management, anywhere, anytime.

Diagnostic Centers & Partners
Expand your reach and enhance capabilities within India's leading dental diagnostic network. Our flexible partnership models boost your business, streamline operations with AI-powered tele-reporting, and provide comprehensive support to help your center thrive.

Seamless
Tele-Reporting

L Ceph
Imaging

Intraoral
Scanner

Advanced 3D
CBCT Scans

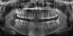
OPG

Soft Tissue
Screening

Pathology
Services
ViZ: Your Intelligent
Imaging Hub
Our intuitive SaaS platform offers secure access to precise reports and 3D DICOM viewers, enabling confident treatment decisions and seamless patient management.

Elevate your Dental Practice
effortlessly today
Access, view, and analyze all your dental radiology studies with our intuitive PACS & Web-Viewer, designed for seamless integration and clarity.
Empower your practice with seamless diagnostics, on-demand, transparent and dependable.










